Qu’est-ce qu’une malocclusion ?

Classe I
Les mâchoires sont alignées, mais les dents sont mal positionnées, tournées ou chevauchées.
Classe II
La mâchoire du haut est trop avancée, et celle du bas, petite et effacée ; les dents peuvent aussi être mal positionnées, être tournées ou chevauchées.
Classe III
La mâchoire du bas est proéminente, et celle du haut est petite, les dents peuvent aussi être mal positionnées, être tournées ou chevauchées.
Les appareils fixes
Les appareils fixes, qu’on appelle » les broches « , sont de petits boîtiers dans lesquels on insère un fil qui nous permet de corriger l’alignement des dents. On retrouve deux types de boîtiers : les semi-transparents, en céramique, et les métalliques. À notre clinique, ces deux types de boîtiers sont auto-ligaturants, ce qui veut dire qu’ils ne nécessitent pas d’attaches ou d’élastiques pour retenir le fil. Ils sont miniatures, esthétiques, hygiéniques et très confortables. Ces derniers optimiseront l’efficacité et le temps de traitement.

Vous pouvez choisir le type de boîtier qui convient à votre style de vie.
Les appareils de rétention
La Coquille rigide transparente et le Hawley avec arc labial sont des appareils amovibles de rétention qui servent à maintenir l’os et les dents en bonne position après un traitement orthodontique complet avec des broches. Ils sont utilisés de nuit seulement pour une période de 18 à 24 mois après le retrait des appareils fixes. Ils assurent la stabilité du résultat obtenu. Le choix de l’appareil dépend du type de correctif effectué lors de votre traitement d’orthodontie.

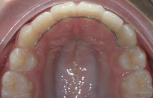
Fils linguaux
Les fils linguaux sont collés à l’intérieur des dents antérieures supérieures et inférieures. Ils retiennent les dents dans leur position idéale et empêchent les mouvements dentaires après un traitement complet avec des appareils fixes (broches). Ils doivent demeurer en place un minimum de cinq ans.

Les micro-implants
Les micro-implants sont des micro-vis chirurgicales en alliage de titane. Ils ont été conçus spécialement pour une utilisation en orthodontie, lorsqu’un traitement nécessite un ancrage qui offre une bonne résistance au déplacement.
